Acute Suppurative Otitis Media
Definition:
Acute suppurative otitis media is defined as suppurative infection involving the mucosa of the middle ear cleft. By convention it is termed acute if the infection is less than 3 weeks in duration.
Pathophysiology:
Obstruction to the eustachean tube seem to be the most important antecendent event in the pathophysiology of acute suppurative otitis media. Majority of acute suppurative otitis media is triggered by upper respiratory infections which might find its way into the middle ear cavity through the eustachean tube orifice. Infections involving the nasopharynx may find its way into the middle ear through the pharyngeal end of eustachean tube. The infection is initially commonly viral in origin, allergy could also play an important role in the pathogenesis. Later the middle ear mucosa becomes secondarily infected by pathogenic bacteria. The bacteria commonly implicated in this disorder is S Pneumoniae, H. Influenza, and M Catarrhalis.
The majority of otitis media prone children have a patulous eustachean tube or an hypotonic eustachean tube. Children with neuromuscular disorders or with abnormalities of the first or second arch have a patulous eustachean tube leading on to this problem. To become pathogenic the bacteria must become adherent to the mucosa lining the middle ear cavity, this is made possible by prior infection of the middle ear mucosa by viruses.
Flask model explaining the role of eustachean tube in middle ear infections:
The eustachean tube, middle ear, and mastoid air cell system can be likened to a flask with a long narrow neck. The mouth of the flask represents the nasopharyngeal end, the narrow neck, the isthumus of the eustachean tube, and the bulbous portion, the middle ear and mastoid air chamber. The fluid flow through the neck of the flask would be dependent on the pressure at either end, the radius and length of the neck, and the viscosity of the liquid. When a small amount of liquid is instilled into the mouth of the flask, liquid flow stops somewhere in the narrow neck owing to capillarity within the neck and the relative positive air pressure that develops in the chamber of the flask.

Figure explaining the flask model of normal eustachean tube function
The basic geometry is considered to be critical for the protective function of the eustachean tube - middle ear system. Reflux of liquid into the body of the flask occurs if the neck of the flask is excessively wide, or the length of the neck of the flask is too short as seen in children. Because infants have a shorter eustachean tube than adults, reflux is more likely to occur in the baby. The position of the flask in relation to the liquid is another important factor. In humans, the supine position enhances flow of liquid into the middle ear; thus infants might be at risk for developing reflux otitis media because they are commonly supine. Reflux of liquid into the vessel can also occur if a hole is made in the bulbous portion of the flask, because this prevents the creation of positive pressure in the bulbous portion. This positive pressure is useful in the prevention of reflux of material from the neck of the flask.

Figure showing the differences between eustachean tubes of adult and a child

Figure showing various pathophysiological factors involved in middle ear diseases
If negative pressure is applied to the bulbous portion of the flask then this pressure is sufficient to cause aspiration of contents from the neck of the flask. This scenario is represented by high negative pressure in middle ear as it occurs in nose blowing, crying, closed nose swallowing, diving or airplane descent. The neck of the eustachean tube is supposed to be compliant hence compliance plays a vital role in prevention of reflux of secretions.
Clincial features:
Acute suppurative otitis media passes through 4 stages: 1. Stage of hyperemia
2. Stage of exudation
3. Stage of suppuration
4. Stage of resolution.
The progression of these stages depend on the virulence of the infecting organisms, resistance of the host, adequacy of antibiotic therapy. If the infecting organism is virulent or if the antibiotic treatment is not sufficient then the disease may progress to a stage of coalescent mastoiditis with its attendant complications.
Stage of hyperemia:
Initial infection by infection results in hyperemia of the mucous membrane causing otalgia, fever and fullness in the affected ear. This stage is characterised by oedema of the mucoperiosteum due to vascular engorgement. Otoscopy show dilated vessels along the handle of malleus and along the rim of the tympanic membrane. Antibiotic therapy during this stage will help in resolution of the disease. Amoxycillin is the drug of choice.
Stage of exudation:
Absence of treatment during the stage of hyperemia leads to the stage of exudation. In this stage there is outpouring of fluid from the dialted vessels of the mucoperiosteum. This fluid is serous in nature containing fibrin, red cells, and polymorphs. This exudate fills the tympanomastoid compartment really fast, and the whole middle ear cavity is under intense pressure due to this retained secretion. Pain is the most prominent feature of this stage. The patients may have fever and fullness in the ear. Otoscopy shows a bulging ear drum with loss of all landmarks. The drum is reddish and bulging in nature. These patients have also coexistant mastoid tenderness due to mastoiditis.
Stage of suppuration:
Failure of treatment during the stage of exudation leads on to stage of suppuration. The exudate present in the middle ear cavity is a very good culture medium and hence there is secondary bacrterial infection leading on to suppuration.
Stage of resolution:
is preceded by either rupture of the ear drum leading on to a serous / serosanguinous / purulent disharge from the ear. When the middle ear is free from the exudate / pus the stage of resolution sets in. The patient has reduction in otalgia, fever subsides. The patient has considerable clinical improvement.
Stage of complication:
If the infection persists beyond a period of 2 weeks then there is associated thickening of the mucoperiosteum especially in the air cells around the peri antral area leading to a block in the drainage from the antral cells. The pent up secretions in the mastoid air cell system causes intense pressure, venous stasis and local acidosis. This acidosis cause dissolution of calcium from the bone causing decalcification and coalescence of the mastoid air cell system. This condition is known as coalescent mastoiditis. This stage is characteristed by emergence of otalgia and low grade fever. Erosion of the outer cortex in the mastoid lead to the formation of abscess under the periosteum of the mastoid cortex. This condition is known as subperiosteal abscess.

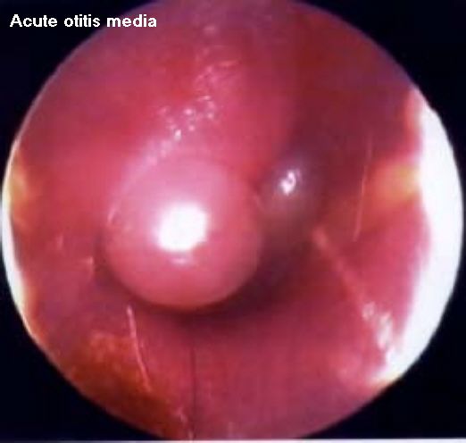
Figure showing the appearance of ear drum in acute otitis media
Management:
Acute suppurative otitis media is a self limiting condition. If appropriate antibiotics is started early then it resolves. Amoxycillin is the drug of choice. Cephalosporins may also be started in refractive cases. Anti inflammatory drugs like ibuprofen is also prescribed in order to alleviate pain. Patients who are refractory to medical management may under go myringotomy in order to decompress the middle ear cavity. This procedure is done using a myringotome.
Coalescent otitis media and subperiosteal abscess are surgical complications. These patients must be taken up for surgery under adequate antibiotic cover.