Parapharyngeal Mass And Its Management
Synonyms: Parapharyngeal tumors, Parapharyngeal mass lesions
Anatomy: The parapharyngeal space is a potential deep neck space, is also known as pterygomaxillary space, pharyngomaxillary space,or lateral pharyngeal space. It is more or less shaped like an inverted pyramid with the base pointing towards the skull base and the apex towards the hyoid bone. Its boundaries are as follows:
Medial: It is bounded by the naso and oropharynx
Anterolateral: Bounded by the masticator space
Posterolateral: Bounded by the deep lobe of parotid gland
Posteromedial: Bounded by the retropharyngeal space
This space is filled with loose connective tissue, associated lymphatics, and nodes. The contents of the carotid sheath may also be considered to be part of the parapharyngeal space.
For descriptive purposes this space can be divided into a pre styloid and post styloid compartments. The styloid process and styloid fascia is used to divide this space.
Prestyloid compartment: contains
1. internal maxillary artery
2. inferior alveolar nerve
3. lingual nerve
4. auriculotemporal nerve
This compartment is related to the lateral wall of nasopharynx superiorly, and tonsillar fossa inferiorly.
Poststyloid compartment contains:
1. Contents of carotid sheath - internal carotid artery, internal jugular vein, and cranial nerves 9, 10 and 12.
2. Cervical sympathetic chain
3. Numerous lymph nodes

Clinical photograph of a patient with parapharyngeal mass
Figure showing the location of parapharyngeal space
Tumors involving parapharyngeal space produce symptoms by exerting pressure on the near by structures. These tumors are commonly benign, and symptoms caused may be subtle in nature. Expansion of the mass occur along the plane of least resistance - i.e. medially towards the tonsil and lateral pharyngeal wall, and laterally between the tail of the parotid and the submandibular glands, and posteriorly into the retromandibular area.
The diagnosis should be suspected when a mass is encountered displacing the tonsil and lateral pharyngeal wall towards the midline, or when a mass is encountered in the neck close to the angle of the mandible. Bimanual palpation will help the physician to recognise the involvement of parapharyngeal space by the tumor.
Tumors of the parapharyngeal space that are palpable in the neck would have passed through the stylomandibular tunnel which is formed by the posterior aspect of the ascending ramus of mandible and the ligament that extends from the tip of the styloid process to the mandible (stylomandibular ligament). The superior aspect of the tunnel is formed by the base of skull. These tumors will be palpable as a retromandibular mass externally, whereas internally they displace the medial wall of the pharynx and tonsil to the midline intraorally.

Figure showing the stylomandibular tunnel
If the parapharyngeal mass is dumb bell shaped it is invariably pleomorphic adenoma developed from the deep lobe of the parotid gland.
Signs and symptoms: of parapharyngeal mass depends on the tissue of origin and effect of the mass on surrounding structures.
1. Conductive hearing loss - may occur due to middle ear effusion if eustachean tube is blocked
2. Involvement of vagus nerve will cause paralysis of ipsilateral vocal cord
3. Involvement of hypoglossal nerve may cause paralysis of ipsilateral portion of the tongue, with deviation of the tongue towards the side of the lesion.
4. Involvement of cervical sympathetic chain can cause Horner's syndrome
5. If the oropharyngeal mass is big it can cause rhinolalia clausa
6. Trismus is a common feature. It is caused due to irritation of pterygoid muscles, or due to the mechanical obstruction to the movement of mandible.
7. Paralysis of the cranial nerves in the jugular foramen as they enter the parapharyngeal space results in jugular foramen syndrome of otherwise known as Vernet's syndrome.
Tumors commonly involving parapharyngeal space: Include salivary gland neoplasms, neurogenic tumors, and metastatic deposits from primay elsewhere in the body. The neurogenic tumors include neurofibroma or paragangliomas. Salivary gland tumors may arise from the deep lobe of the parotid gland (commonly pleomorphic adenoma). Occasionally lipomas, rhabdomyomas and meningiomas may also arise from this area. The malignant counter part of these benign conditions can also occur in this area.
Metastatic involvement of parapharyngeal lymphatics may occur from nasopharyneal carcinoma.
Neurogenic tumors:
Paragangliomas: arise from the paraganglionic bodies of the autonomic nervous system. These cells are neuroectodermal in origin. Microscopically, it contains granular cells containing catecholamines. These tumors are well encapsulated, brownish colored with firm consistency. Microscopically the cells demonstrate Zellballen appearance. It has a highly vascular stroma.

Photomicrograph showing Zellballen arrangement of cells
Cervical paragangliomas rarely secrete catecholamines. Familial paragangliomas are notorious in that they secrete catecholamines, and the patients manifest with fluctuating hypertension. These patients also have multiple unrecognised lesions.
The paragangliomas are named according to their site of origin. Paragangliomas arising from carotid body between the internal and external carotid arteries are known as carotid paragangliomas. Some 3% of paragangliomas arise from the vagus nerve. These are known as vagal paraganglia. The most common presenting symptom of vagal paraganglia is hoarsenss of voice due to vocal cord palsy, and aspiration of fluids due to sensory and motor deficts in the throat. The vagal paragangliomas commonly arise from the superior vagal ganglion (also known as jugular ganglion). These tumors are dumb bell shaped with intracranial and extra cranial components. In some patients it may not be possible to identify the source as vagal ganglion.
Carotid paragangliomas are also known as chemodectomas. This is nothing but neoplastic degeneration of the carotid body. The most common presenting feature of chemodectoma is a mass in the neck located at the bifurcation of carotid artery. Large lesions may give rise to pressure symptoms like dysphasia, cough and hoarseness of voice. Clincally this mass can be differentiated from enlarged lymph node by virtue of the fact that it is mobile in the lateral direction and not mobile in the cephalocaudal direction. Carotid pulsations could be transmitted through this mass. Angiogram or contrast CT will clinch the diagnosis
Schwannoma: is always solitary in nature and is almost never associated with Von Recklinghausen's disease. The individual nerve fibers actually do not pass through the mass but is draped over its surface. It is hence possible to dissect out the mass without damaging the nerve. Pain and neurologic dysfunction are very rare, but paraesthesias are common. Histology demonstrates degenerative / cystic changes.
Neurofibroma: Also arises from schwann cells. It is not encapsulated, nerve fibres are incorporated inside the mass unlike schwannomas. Cystic and degenerative elements are uncommon. Hence it is almost impossible to conserve the nerve while excising a neurofibroma. Von Recklinghausen's disease is associated with this entity. Malignant transformation is also common.

Figure showing paraphyryngeal mass presenting in the neck
Diagnostic procedures: CT scan should be performed routinely in all these patients. Contrast enhancement is also useful. These scans helps in precise localisation of the mass, and also its extent. With a CT scan it is possible to localise the lesion to the pre styloid or post styloid compartments. Displacement of parapharyngeal fat with tumor helps to define the margins of the tumor.
Carotid angiogram is a must for tumors arising from the post styloid compartment to differentiate chemodectomas. Chemodectomas can be identified in a carotid angiogram by the presence of the classic separation f internal and external carotid arteries. This is known as Lyre's sign.
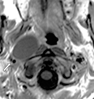
MRI scans help in better delineation of soft tissue masses. Its relationship with the carotids can be clearly seen in MRI.

MRI showing parapharyngeal mass
Fine needle aspiration cytology: is helpful in preoperative evaluation of the mass lesion. It can easily be performed if the tumor is palpable in the retromandibular or submandibular areas. Transoral aspiration can also be attempted in patients in whom mass presents intraorally.
Treatment: Surgical excision is the ideal management for all benign parapharyngeal tumors. The goal of parapharyngeal surgery is to provide adequate tumor visualization to achieve complete tumor removal, to preserve the surrounding nerves and vessels and control of any hemorrhage. Many surgical approaches have been reported in the literature. Overall, transcervical and transparotid approach are the two main approaches. Mandibulotomy can be performed to improve exposure.
Transparotid approach: is commonly used for deep lobe parotid tumors. It starts with a superficial parotidectomy with facial nerve preservation. The facial nerve is then separated from the deep lobe of the parotid gland and retracted. The dissection continued posteriorly and inferiorly around the mandible. Mandibulotomy can be performed if necessary to improve exposure. Bass recommended placing the mandibulotomy site posterior to the entrance of the inferior alveolar nerve in the body of the mandible. Or the styloid process can be removed with dislocation of the mandible anteriorly to allow blunt dissection.
Transcervical approach: Transcervical approach starts with a transverse incision at the level of the hyoid bone. The submandibular gland is often removed or retracted anteriorly. An incision through the fascia deep to the submandibular space allowed for entry into the parapharyngeal space and blunt dissection of the tumor. Many modifications have reported. Some surgeons divide the digastric, stylohyoid, and styloglossus muscles from the hyoid bone to improve exposure. The styloid process and the stylomandibular ligament can also be divided to elevate the mandible anteriorly to improve access. This approach frequently involves blind finger dissection in the parapharyngeal space and does not provide enough exposure for larger benign lesions extending cranially or those with a more aggressive growth pattern. This can be combine with mandibulotomy for better exposure. The key to the site of mandibulotomy is to avoid injury to the inferior alveolar nerve while providing access to parapharyngeal space.

Figure showing transcervical approach
Cervical transpharyngeal approach: is used to excise large and highly vascular tumors. In this approach mandibulotomy is performed anteriorly and incision is made along the floor of the mouth up to the anterior pillar. The advantage of anterior mandibulotomy is the ease with which mandible can be swung laterally. It is thus known as mandibular swing approach.

Figure showing mandibular swing approach
Inoperable cases can be subjected to irradiation. But it gives very poor results.
Points to remember:
Pleomorphic adenoma is the most common tumor involving the prestyloid compartment.
Neurogenic tumors commonly involve the post styloid compartment.