Rhinosporidiosis
Definition:
Rhinosporidiosis has been defined as a chronic granulomatous disease characterised by production of polyps and other manifestations of hyperplasia of nasal mucosa. The etiological agent is Rhinosporidium seeberi.
Rhinosporidium seeberi: was initially believed to be a sporozoan, but it is now considered to be a fungus and has been provisionally placed under the family Olipidiaceae, order chritridiales of phycomyetes by Ashworth. More recent classification puts it under DRIP'S clade. Even after extensive studies there is no consensus on where Rhinosporidium must be placed in the Taxonomic classification. It has not been possible to demonstrate fungal proteins in Rhinosporidium even after performing sensitive tests like Polymerase chain reactions.
History:
1892 - Malbran observed the organism in nasal polyp
1900 - Seeber described the organism
1903 - O'Kineley described its histology
1905 - Minchin & Fantham studied O'Kineley's tissue and named the organism as Rhinosporidium Kinealyi
1913 - ZSchokke reported similar organism in horses and named it Rhinosporidium equi
1923 - Ashworth described its life cycle
1924 - Forsyth described skin lesion
1924 - Thirumoorthy reported the first female patient
1936 - Cefferi establised the identity of R. Seeberi and R. Equi
1953 - Demellow described the mode of its transmission
Incidence and Geographical distribution:
Of all the reported cases 95 % were from India and Srilanka. An all India survey conducted in 1957 revealed that this disease is unknown in states of Jummu & Kashmir, Himachal pradesh, Punjab, Haryana, and North Eastern states of India. In the state of TamilNadu 4 endemic areas have been identified in the survey, (Madurai, Ramnad, Rajapalayam, and Sivaganga). The common denominator in these areas is the habit of people taking bath in common ponds.
Theories of mode of spread:
Demellow's theory of direct transmission
Autoinoculation theory of Karunarathnae (responsible for satellite lesions)
Haematogenous spread - to distant sites
Lymphatic spread - causing lymphadenitis (rarity)
Demellow's theory of direct transmission - This theory propounded by Demellow had its acceptance for quite sometime. He postulated that infection always occured as a result of direct transmission of the organsim. When nasal mucosa comes into contact with infected material while bathing in common ponds, infection found its way into the nasal mucosa.
Karunarathnae accounted for satellite lesions in skin and conjunctival mucosa as a result of auto inoculation.
Rhinosporidiosis affecting distant sites could be accounted for only through haematogenous spread.
Karunarathnae also postulated that Rhinosporidium existed in a dimorphic state. It existed as a saprophyte in soil and water and it took a yeast form when it reached inside the tissues. This dimorphic capability helped it to survive hostile environments for a long period of time.
Reasons for endemicity of Rhinosporidiosis:
It has to be explained why this disease is endemic in certain parts of South India and in the dry zone of Srilanka. If stagnant water could be the reason then the chemical and physical characteristics of the water needs to be defined. In addition other aquatic organisms may also be playing an important synergistic reaction. This aspect need to be elucidated. Text book of microbilogy is repleate with examples of such synergism i.e. lactobacillus with trichomonas, and Wolbachia with filarial nematodes.
Host factors responsible for endemicity: Eventhough quite a large number of people living in the endemic areas take bath in common ponds only a few develop the disease. This indicates a predisposing, though obscure factors in the host. Blood group studies indicate that rhinosporidiosis is common in patient's with group O (70%), the next high incidence was in group AB. Jain reported that blood group distribution is too variable to draw any conclusion. Larger series must be studied for any meaningful analysis. HLA typing also must be studied. The possibility of non-specific immune reactivity especially macrophages in protecting the individual from Rhinosporidium seeberi must be considered.
Life cycle: (Ashworth) Spore is the ultimate infecting unit. It measures about 7 microns, about the size of a red cell. It is also known as a spherule. It has a clear cytoplasm with 15 - 20 vacuoles filled with food matter. It is enclosed in a chitinous membrane. This membrane protects the spore from hostile environment. It is found only in connective tissue spaces and is rarely intracellular.
The spore increases in size, and when it reaches 50 - 60 microns in size granules starts to appear, its nucleus prepares for cell division. Mitosis occurs and 4, 8, 16, 32 and 64 nuclei are formed. By the time 7th division occurs it becomes 100 microns in size. A fully mature sporangia measures 150 - 250 microns. Mature spores are found at the centre and immature spores are found in the periphery. The full cycle is completed within the human body.

Nasal Rhinosporidiosis
Diagramatic representation of lifecycle (old) of rhinosporidium seeberi (Ashworth)
Life cycle (recent): Since rhinosporidium seeberi has defied all efforts to culture it, any detail regarding its life cycle will have to be taken with a pinch of salt. This life cycle has been postulated by studying the various forms of rhinosporidium seen in infected tissue.
Trophozoite / Juvenile sporangium - It is 6 - 100 microns in diameter, unilamellar, stains positive with PAS, it has a single large nucleus, (6micron stage), or multiple nuclei (100 microns stage), lipid granules are present.
Intermediate sporangium - 100 - 150 microns in diameter. It has a bilamellar wall, outer chitinous and inner cellulose. It contains mucin. There is no organised nucleus, lipid globules are seen. Immature spores are seen within the cytoplasm. There are no mature spores.
Mature sporangium - 100 - 400 microns in diameter, with a thin bilamellar cell wall. Inside the cytoplasm immature and mature spores are seen. They are found embedded in a mucoid matrix. Electron dense bodies are seen in the cytoplasm. The bilamellar cell wall has one weak spot known as the operculum. Maturation of spores occur in both centrifugal and centripetal fashion. This spot does not have chitinous lining, but is lined only by a cellulose wall. The mature spores find their way out through this operculum on rupture. The mature spores on rupture are surrounded by mucoid matrix giving it a comet appearance. It is hence known as the comet of Beattee
Mature spores give rise to electron dense bodies which are the ultimate infective unit.

Diagramatic representation of life cycle of rhinosporidium (New)
1 - Trophozoite (juvenile sporangium)
2 & 3 - Immature bilamellar sporangia
4a & 4b - intermediate sporangia with centrifugal and centripetal maturation of endospores
5 - Mature sporangium with spores exiting through the operculum
6 - Free endospore with residual mucoid material giving it a comet like apperance (comet of Beattie)
7a - Free electorn body (ultimate infective unit)
7b - Free elecctron dense body surrounded by other electron dense bodies which are nutritive granules
Clincial classification of Rhinosporidiosis:
Nasal
Nasopharyngeal
Mixed
Bizzarre (ocular and genital)
Malignant rhinosporidiosis (cutaneous rhinosporidiosis)

Image showing nasopharyngeal rhinosporidial mass

Rhinoporidial mass in the oropharynx
Common sites affected:
Nose - 78%
Nasopharynx - 68%
Tonsil - 3%
Eye - 1%
Skin - very rare
Gross features of rhinosporidiosis:
Lesions in the nose can be polypoidal, reddish and granular masses. They could be multiple pedunculated and friable. They are highly vascular and bleed easily. Their surface is studded with whitish dots (sporangia). They can be clearly seen with a hand lens. The whole mass is covered by mucoid secretion. The rhinosporidium in the nose is restricted to the nasal mucous membrane and doesnot cross the muco cutaneous barrier.
Histopathology of nasal rhinosporidiosis:
There is papillomatous hyperplasia of nasal mucous membrane with rugae formation. The epithelium over the sporangia is thinned out, foreign body giant cells can be seen. Accumulation of mucous in the crypts seen with increased vascularity. The increased vascularity is responsible for excessive bleeding during surgery. Increased vascularity is due to the release of angiognenesis factor from the rhinosporidial mass. Rhinosporidial spores stain with sudan black, Bromphenol blue etc.

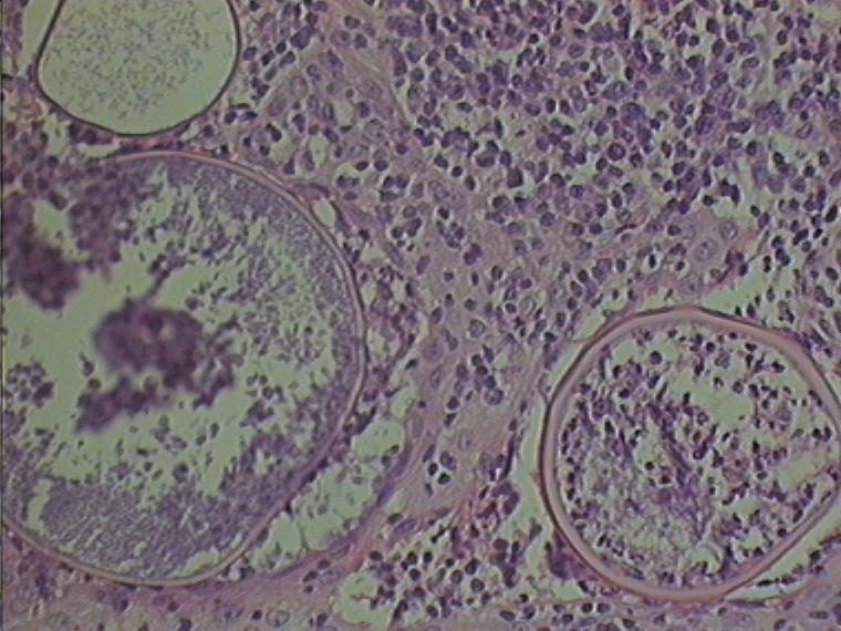
Rhinosporidial spores under high power
Endosporulation:
Endospores represent asexual spores of Rhinosporidium seeberi. After nuclear division in the juvenile sporangia, endospores are forrmed by condensation of cytoplasm around the nuclei with the formation of cell walls. This process is known as endosporulation. These endospores have been postulated to develop from the inner sporangial wall. Endospores are liberated from the sporangium by bing shot out from the sporangium after its rupture (as suggested by Beattee), or through the operculum as suggested by Ashworth, or by osmotic mechanism as suggested by Demello. Endospores are thick walled measuring about 7 microns in diameter, round in shape and stains with PAS. It has a vesicular nucleus and a granular cytoplasm. The peripheral cytoplasm is vacuolated containing deeply staining bodies called as spherules. These bodies give the spore a morullated appearance and hence the term spore morullae.
Features of rhinosporidiosis:
The cardinal features of rhinosporidiosis are 1. chronicity, 2. recurrence and 3. dissemination.
The reasons for chronicity are
1. Antigen sequestration - The chitinous wall and thick cellulose inner wall surrounding the endospores is impervious to the exit of endosporal antigens from inside, and is also impermeable to immune destruction. However this sequestered antigen may be released after phagocytosis.
2. Antigenic variation - Rhinosporidial spores express varying antigens thereby confusing the whole immune system of the body.
3. Immune suppression - ? possible release of immuno suppressor agents
4. Immune distraction - Studies of immune cell infiltration pattern have shown that immune cell infiltration has occurred in areas where there are no spores, suggesting that these infiltrates reached the area in response to free antigen released by the spores. This serves as a distraction.
5. Immune deviation
6. Binding of host immunoglobins
Treatment:
Surgery is the treatment of choice. Rhinosporidial mass can be removed intranasally, the only problem being bleeding. Post operatively the patient is started on T. Dapsone in dose of 100 mg / day for a period of 6 months.
Unsolved problems:
Habitat - Breeds in ponds (highly theoretical, spores have not been isolated from ponds even on intense effort)
Lifecycle - In the absence of viable ways to culture the organism the life cycle remains highly speculative
Pathogenicity - does not fullfill any of the 4 criterial laid down by Koch regarding the infectivity
Morphology