Tonsillar Neoplasm
Tonsils are common site for various neoplastic lesions. These lesions could be benign and malignant. In this write up we will attempt to describe the various neoplastic lesions of the tonsil both benign and malignant.
Squamous papilloma:
This is the commonest benign tumor of this region. It commonly arises from the tonsillar pillar, sometimes it may arise from the surface of the tonsil itself. These lesions do not become keratinised. The stratified squamous lining layer in this area gives rise to this lesion. This lesion is purely a incidental finding usually, and rarely requires treatment.
Lymphangioma:
This is next common lesion in frequency. This is less common than papilloma. This mass is generally presents itself as pedunculated lesion attached to the surface of the tonsil. It contains dilated and distorted lymphatics. It can even be considered to be a hamartoma. Some authors tend to describe them as a acquired lymphangiectatic malformation.
Carcinoma tonsil:
Is one of the commonest cancers of head & neck. The highest incidence is seen during the 7th decade of life. Lymphomas present a decade earlier. Males are commonly affected. Squamous cell carcinoma is the commonest histological type arising from the lining layer of the tonsillar epithelium, while lymphomas arise from the substance of the tonsil itself. Squamous cell carcinoma of the tonsil is ulceroproliferative in nature, whereas lymphomas are smooth swellings.
Etiology: Alcoholism, smoking, betelnut chewing, Human papilloma virus infections have been attributed. A diet deficient in fruits and vegetables have also been attributed in susceptible patients.
The squamous cell carcinoma of the tonsil appear as an ulcer / tumor mass / mucosal discoloration. The ulcer looks like a crater with rolled and elevated borders. Infiltration is also commonly seen.
Tonsillar carcinomas spread to involve the soft palate, tongue, anterior and posterior pillars, retropharyngeal space and parapharyngeal space. Fatal bleeding from the ulcerated area of the primary lesion occur in 10% of cases.
Staging:
Prognostic staging:
Stage I : Carcinoma confined to the tonsil
Stage II : Carcinoma that has spread to the soft palate, tonsillar pillars or tongue, without palpable lymphadenopathy.
Stage III : Carcinoma with local extension beyond the area specified in stage II or with palpable mobile nodes.
Stage IV : Carcinoma with involvement of the skin, fixation of nodes and distant metastasis.
Irradiation has been recommended for stages I & II and a combination of irradiation and resection of the mass for stages III & IV.
Prognosis is determined by a 5 year survival rate after treatment.
For stage I it is 80%
Stage II - 70%
Stage III - 40%
Stage IV - 30%
TNM staging of carcinoma tonsil:
T1 - Tumor less than 2 cm in diameter
T2 - Tumor between 2 - 4 cm in diameter with no invasion of surrounding tissues
T3 - Tumor greater than 4 cms / or with limited extension to adjoining structures
T4 - Massive tumor / bone involvement.
Nodes :
No - No clinically palpable nodes
N1 - Clinically palpable homolateral cervical nodes that are not fixed, (suspected metastasis)
N2 - Clinically palpable contralateral / bilateral mobile nodes: (suspected metastasis)
N3 - Clincially palpable fixed nodes

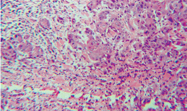
Growth Tonsil
Microscopy: shows proliferation of well differentiated keratinising squamous epithelial cells, which penetrate into the underlying lymphoid tissue, appearing as sheets, groups or strands.

Histopathology of squamous cell carcinoma tonsil
Carcinoma in situ - Also include dysplasias: The squamous epithelial lining of the tonsils and the surrounding oropharyngeal area may show dysplastic changes, associated with hyperplasia.
Undifferentiated carcinoma:
These are difficult to distinguish from large cell lymphomas. It is also associated with pseudocarcinomatous hyperplasia of the epithelium overlying the tonsil. This tumor is highly responsive to irradiation. Hence RT is the main modality of treatment in these cases.
Lymphoma:
The large cell lymphoma (formerly reticulin cell sarcoma) is the commonest lymphoma involving the tonsil. These constitute 60% of all lymphomas involving the tonsil. Diffuse lymphocytic lymphoma comes next with 30%, and Hodgekin's lymphoma constitute 5%.
The large cell lymphoma occur mainly during childhood, while fully differentiated lymphocytic lymphomas are common in adults. These well differentiated lymphomas may pose diagnostic difficulties when inadequate material is provided. The vital pointer to this disease is the loss of normal follicular pattern seen in the tonsil. These patients may also have gastrointestinal lymphomas. Since there is no direct lymphatic connection between the tonsil and gut associated lymphoid tissue, various hypothesis have been propounded to explain their occurance.
1. Gastrointestinal lymphoma is a concomittant primary malignancy in addition to the tonsillar malignancy.
2. Implantation of tumor cells in the gut associated lymphoid tissue due to swallowing.
3. Homing tendency of lymphoma of the tonsil to the gut associated lymphoid tissue.