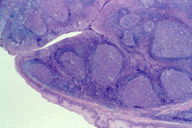
Ultrastructure of Tonsil
The tonsil is made up of a mass of lymphoid follicles within a fine connective tissue matrix. The lymphocytes are less closely packed in the centre of each nodule, otherwise known as the germinal centre, because multiplication of lymphocytes take place here. Medial surface of the tonsil, facing the oral cavity is characterised by 15 - 20 openings, irregularly spaced. These openings lead to deep, narrow and blind ended recess known as crypts. These crypts may penetrate nearly the whole of the tonsil. This feature distinguishes it from other lymphoid organs. The mucous membrane covering the medial surface of the tonsil is of non - keratinizing stratified type. It dips down to line the crypts.
These crypts may contain desquamted epithelial debris and cells. The largest of the crypts known as the crypta magna is present close to the superior pole of the tonsil. This is thought to represent the persistent part of the ventral portion of the second pharyngeal pouch.

Histology of Palatine Tonsil